Gunshot penetrating Brain Injury
- Penetrating brain injury can be classified as (Youman ed.7)
- low velocity (eg.knife)
- high velocity
- subsonic (<300 m/s)
- hypersonic (>300m/sec)
- Civilian VS wartime penetrating injury
- Projectiles with high kinetic energy eg. machine guns
- direct tissue damage along the missile path
- cavitation
- low velocity projectiles eg.handguns, knives, or nails
- localized tissue damage along the trajectory
- close range projectiles produce the greatest degree of injury
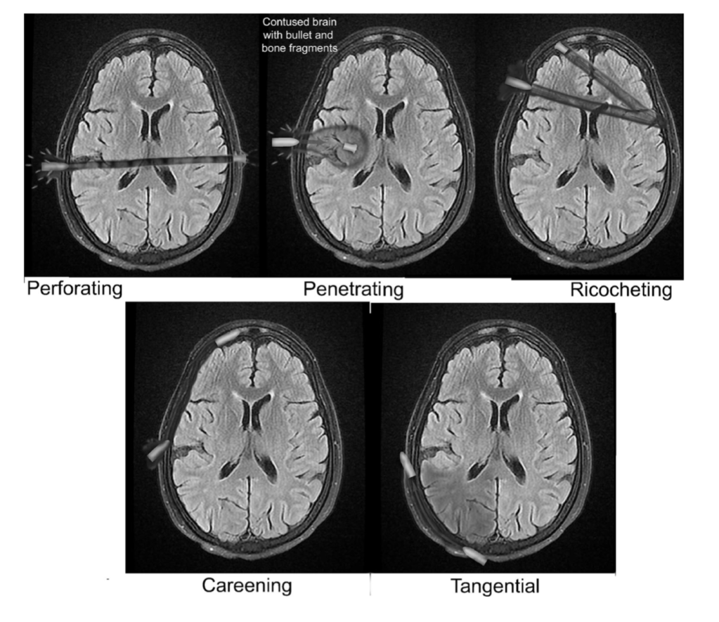
- Wound types (Vakil, Emerg Radiol, 2017)
- Penetrating: entry wound with no exit wound
- Perforating: entry and exit wound with tract through the brain parenchyma
- Tangential: strikes the head obliquely without penetrating the brain tissue but may result in scalp lacerations, skull fractures, or cerebral contusions
- Ricochet: penetrating bullet that may bounce off the inner table of the skull one or more times
- Careening: penetrates the skulls and travels along the periphery of the cortex without entering parenchyma but has the potential to damage the dural venous sinuses
Evaluation, Possible complications and Management (Loggini, Journal of Critical Care, 56, 2020)
- Initial treatment of penetrating brain injury should focus on immediate resuscitation with control of bleeding and elevated intracranial pressure
- Cervical spine immobilization
- incidence of cervical spine injury was 0.49% (all suffered direct spinal injury from bullet passage)
- Evidences do not support routine cervical spine immobilization in penetrating gunshot wound injury
- ยกเว้นพบมี penetrating injury บริเวณคอ หรือมีสถานการณ์อื่นๆที่ทำให้สงสัย C-spine injury
- Seizure prophylaxis
- not able to identify reliable data on the incidence of early versus late seizures in this population
- early seizures may be high in cvPBI.
- the rate of late seizures does not appear to be different from non- penetrating mechanisms
- intraparenchymal retention of bone plus metal fragments could represent a significant risk factor for development of seizures. (Englander, Arch Phys Med Rehabil, 2003)
- guidelines for “Management and Prognosis of Penetrating Brain Injury” recommend prophylactic antiseizure medications for the first week after PBI, but not beyond that.
- Antibiotic prophylaxis
- there is no robust data supporting the use, type, or duration of prophylactic antibiotics in cvPBI.
- In a prospective cohort of 160 surgically treated patients low–velocity (civilian) firearm projectiles, 40/160 patients were confirmed to have a CNS infection, 95% of which occurred during the first 30 days(Jimenez, World Neurosurgery, 2013)
- pre-surgical prophylactic antibiotics was not associated with a reduction in CNS infection
- Injury through paranasal sinuses or oral cavity, persistence of osseous or metallic fragments on CT scan, and prolonged hospitalization were associated with infection regardless of prophylactic antibiotic administration (p = .03, p = .0001, p = .006 respectively)
- In a prospective cohort of 160 surgically treated patients low–velocity (civilian) firearm projectiles, 40/160 patients were confirmed to have a CNS infection, 95% of which occurred during the first 30 days(Jimenez, World Neurosurgery, 2013)
- The most common prophylaxis was a third-generation cephalosporin (Youman, ed 7)
- there is no robust data supporting the use, type, or duration of prophylactic antibiotics in cvPBI.
- Coagulopathy
- the prevalence of coagulopathy ranges from 44 to 52%
- is an predictor of poor outcome (Folkerson, Am J Emerg Med, 2018)
- coagulopathy ought to be early investigated
- Vascular complications (Bodanapally, J Neurosurg,2015)
- incidence of vascular injury in cvPBI ranges between 38% and 50%.
- risk is higher when
- a projectile penetrates the cranium in the fronto-basal region
- the projectile traverses both hemispheres
- close proximity to the circle of Willis
- intraventricular or subarachnoid hemorrhage is present
- types of vascular complications
- traumatic intracranial aneurysms are the most common (39%),
- arterial dissections (29%)
- arterial occlusion (21%)
- arterio-venous fistulas (11%)
- 96% of the injuries are limited to the anterior circulation, namely the MCA and ICA
- intracavernous and infraclinoid ICA and vertebrobasilar arteries are particularly susceptible to injury from skull base fractures
- traumatic intracerebral aneurysm
- may develop within the first several hours following initial trauma
- or as a delayed complication often presenting as delayed subarachnoid hemorrhage or hematoma
- associated with a 50% mortality and are therefore treated aggressively
- The incidence of cerebral vasospasm following cvPBI can be as high as 42%
- presence of subarachnoid blood being the strongest risk factor(Kordestani, Neurosurgery 1997
- Subarachnoid hemorrhage in cvPBI is correlated with poor outcome
- Conventional angiography is superior to CTA for detecting overall arterial injury
- Gold standard
- the clinical utility in the acute setting remains ambiguous.
- CTA has limited overall sensitivity in detecting arterial injuries in cvPBI (72.7% sensitivity and 93.5% specificity)
- It is reliable in identifying traumatic aneurysms in this patient population (100% sensitivity and specificity)
- Patients who are at risk of developing a traumatic aneurysm should be evaluated with angiography or CT angiography early.
- Because the time frame for development of traumatic pseudoaneurysms is uncertain, a repeat examination in approximately 2 weeks is recommended (Ambrosi, Neurosurg Rev, 2012),(Ecklund, WNEU, 2014)
- Intracranial infection
- 5 to 23% including intracranial and extracranial infections
- osteomyelitis of the skull, superficial wound infections, epidural and subdural empyema, meningitis, ventriculitis cerebritis, and cerebral abscess.
- commonly associated with CSF leaks, transventicular and bihemispheric injuries, air sinus wounds, and retained fragments
- Staphylococcus epidermidis, Staphylococcus aureus, and gram-negative bacteria are the most common
- Brain abscess
- Incidence 2-3%, mortality 50%
- More likely to form around retained fragment, 2-4 wk after injury, may be years if the organism is low virulence
- Adequate debridement of contaminat- ed tissue and treatment of CSF leak
- 5 to 23% including intracranial and extracranial infections
- Intraventricular hemorrhage and hydrocephalus
- Venous sinus thrombosis and venous infarction
- may result from direct dural penetration by bullet fragments or skull fractures overlying the dural venous sinuses.
- 80%superior sagittal sinus
- Venous sinus injury with air embolism (Brune, BMJ Case Rep,2018)
- Bullet migration
- Intracranial bullet migration is an uncommon
- potentially significant complication
- may result in change in a patient’s neurologic examination:seizures, hematomas, and obstructive hydrocephalous
- Depending on the location of the fragment, surgery may be indicated for migrated fragments
Surgical Management: highly controversial
- Criteria for surgical intervention
- No consensus on criteria for surgical intervention
- Timing for surgical intervention (Helling, J Trauma 1992)
- no clear benefit of early intervention was demonstrated
- Types of surgical intervention
- Current surgical practice focuses on aggressive intracranial decompression with wide decompressive craniectomy performed for patients with significant cerebral swelling
- Surgeons are often less aggressive with deeply-seated fragment and bone retrieval given increased risk of morbidity associated with deep exploration (Rosenfeld, World J Surg, 2015)
- Exceptions include bullet fragments that have migrated, located near a vascular structure, or CSF communication in a cistern or ventricle
- The approaches range from decompressive craniectomy with evacuation of mass lesions to procedures limited to superficial wound debridement,dural repair to prevent CSF fistulas, and ICP monitor placement
- some literature suggests that retention of foreign bodies post-surgery may increase seizure risk
- no studies addressed whether surgical debridement of necrotic tissue and removal of surgically accessible bone and bullet fragments has a role in decreasing seizure or infection risk (Englander, Arch Phys Med Rehabil,2003)
Clinical Outcomes
- Surgery seems to be associated with decreased mortality
- Mortality in surgical groups ranges from 13 to 33% while mortality in non-surgical cohort ranges from 66 to 83%
- patients with GCS 3–5, <1% survived without surgery, while 38% survive with surgical intervention (p b .0001) (Levy, Neurosurgery,1994)
- patients with GCS 6–8, no patients survived without surgery, while 83% survive with surgery (Levy, Neurosurg Focus,2000)
- higher GCS is associated with better clinical outcome at discharge.
- surgical intervention was associated with better outcome only in the patients whose GCS was 3–8 (p <.05)
- Mortality in surgical groups ranges from 13 to 33% while mortality in non-surgical cohort ranges from 66 to 83%
- CT findings that are associated with poor prognosis
- brainstem, bilateral hemispheric, multilobar, or transventricular injuries
- injury to eloquent brain
- subarachnoid hemorrhage
- large intracerebral hemorrhage
- midline shift
- tram-track sign hemorrhage on either side of a dark center track in a perforating injury


Leave a Reply